
The leading dental clinic in Nellore, offering expert pediatric and family dental care. Founded by Dr. Ramasubbareddy Challa, a highly experienced pediatric dentist, our clinic is renowned for delivering compassionate, advanced, and affordable dental treatments.
At Rams Dental World, we prioritize patient comfort, safety, and personalized care using the latest technology. Our dental health plans and preventive care packages are designed to promote lifelong oral health while minimizing treatment costs.

0+
Satisfied
Patients Treated

0+
Cases
Successfully Completed

0+
Experts
Dentists
Dental Services
Dental Trauma Management
Prompt, compassionate care to manage dental injuries and restore your child’s smile and oral health.
Painless Root Canal Therapy
Gentle, child-friendly root canal treatments designed to relieve pain and save young teeth comfortably.
Anticipatory Guidance
Expert treatments to proactively manage your child’s dental development and oral hygiene habits.
Habit Breaking Appliances
Custom-made appliances to gently stop thumb sucking, tongue thrusting, and other harmful dental habits.
Extractions
Safe, quick, and virtually painless tooth extractions, ensuring your child’s comfort and future dental health.
Sports Dentistry
Protect your child’s teeth during play with custom mouthguards & expert management of dental injuries.
Cleaning & Polishing
Gentle, professional cleaning to keep children’s teeth sparkling clean, healthy, and free from cavities.
Preventive Dentistry
Shield young smiles from dental problems with fluoride treatments, sealants, and regular oral check-ups.
Braces & Aligners
Correct crooked teeth early with child-friendly braces and invisible aligners for a confident future smile.

Smile Designing
Transform your appearance and confidence with personalized smile makeovers crafted by expert cosmetic dentists.

Root Canal Therapy
Save your natural teeth, eliminate dental pain, and restore oral health with precision root canal care.

Braces & Aligners
Achieve perfectly aligned teeth and a confident smile through modern, comfortable orthodontic solutions for adults.

Implants
Replace missing teeth with permanent, natural-looking dental implants that restore function, comfort & confidence.

Gum Care
Protect your oral health and prevent gum disease with advanced periodontal treatments and expert care.

Dental Surgery
Experience safe, precise dental surgical procedures designed to restore oral function and aesthetic harmony.

Crowns & Bridges
Restore damaged or missing teeth beautifully with custom-crafted crowns and bridges for seamless dental aesthetics.
Our Team
Why Rams Dental World is the Perfect Choice for Your Family
Customized Treatment Plans
Tailored dental solutions based on individual needs, age, and comfort.
Complete Family Dental Solutions
From pediatric dentistry to advanced adult treatments, we care for all ages
Experts in Kids & Teens Dental Care (0-16 Years)
Gentle, specialized care designed for growing smiles.
Minimum waiting time
Quick, hassle-free appointments with prompt service.

Compassionate, Child-Friendly Team
Our caring experts ensure a stress-free experience, especially for anxious kids.
State-of-the-Art Dental Clinic
Modern technology for accurate, pain-free treatments.
Affordable & Budget Friendly Care
Premium services made accessible for every family.
Dental Health Plans for All
Dental
Health Plan
- Regular dental check-ups & cleanings
- Preventive care for lasting oral health
- Personalized care from expert dentists
Advanced
Dental Plan
- Includes all benefits of the Dental Health Plan
- Access to orthodontics, implants & cosmetic dentistry
- Premium care for complex dental needs
Women's
Dental Plan
- Tailored dental care for women at every life stage
- Special services during pregnancy & menopause
- Oral health support for osteoporosis management
Preventive
Dental Care Package
- Focused on early detection & prevention
- Routine screenings, fluoride treatments & sealants
- Proactive care to avoid major dental issues

Words from Happy Patients
Blogs

International Women’sDay Special: Prioritizing Women’s…
Women play an essential role in shaping families, communities, and societies. As we celebrate…

World Oral Health Day:How Oral HygieneAffects Your Health
Every year on March 20th, the world comes together to celebrate World Oral Health Day, a globa…

World Health Day: TheMouth-BodyConnection & How…
Every year on April 7th, we celebrate World Health Day, a global initiative by the World…
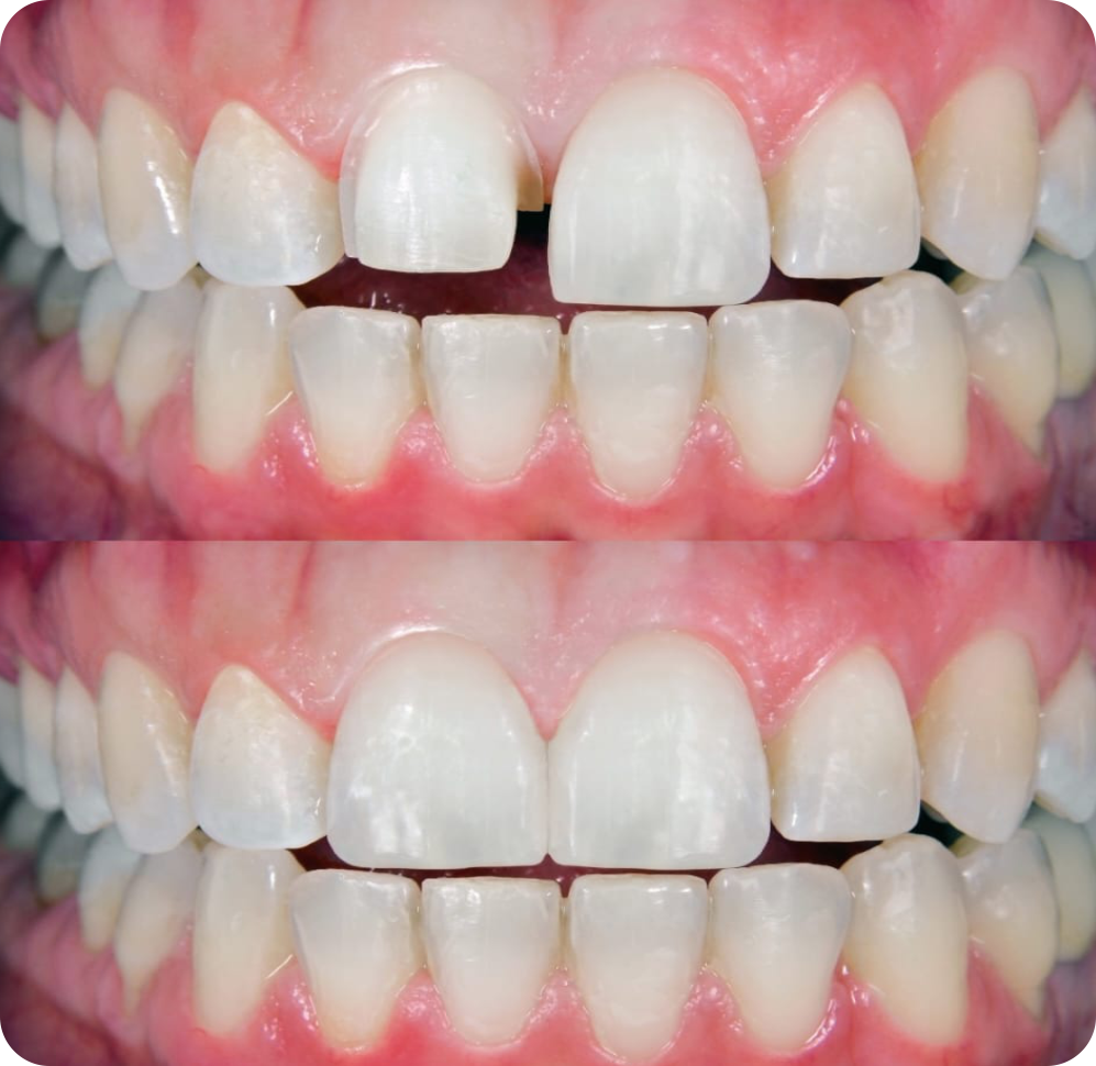
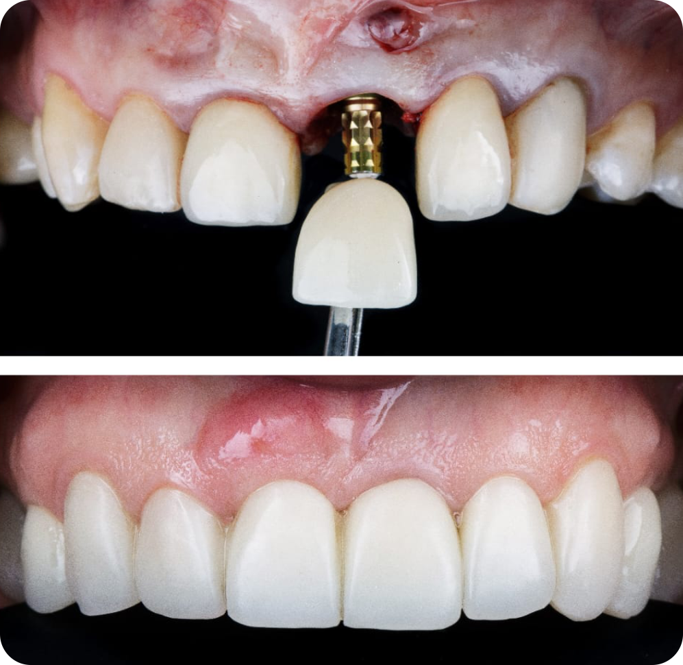
RESULTS FROM OUR TREATMENTS
Awards & Recognitions and Gallery



Frequently Asked Questions
Item
I am a so called subtitle.Content goes here ..
Item 2
I am a so called subtitle.Content goes here ..
Item
I am a so called subtitle.Content goes here ..
Item 2
I am a so called subtitle.Content goes here ..










